Why does my pet need teeth cleanings?

Dental health isn’t just about fresh breath — it’s about preventing pain and keeping your pet healthy. Just like people, dogs and cats build up tartar, develop gum disease, and sometimes lose teeth if we don’t keep up with cleanings.

What to look for

The first sign to watch for is gingivitis, an inflammation along the gumline. It shows up as a thin red line above the teeth and is often paired with brown tartar buildup on the teeth. That tartar is packed with bacteria, which causes gum disease, tooth decay, and bad breath.

How We Treat Dental Disease

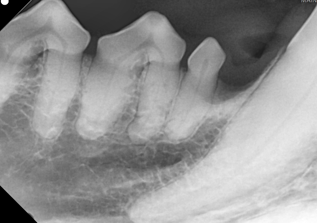
At Southside Veterinary Clinic, we take dental care seriously. Every dental patient receives x-rays so we can see what’s happening below the gumline. A healthy mouth has solid bone around the tooth, while diseased mouths often show bone loss and teeth that are barely hanging on (see images below for examples). Sometimes those bad teeth need to be pulled — not because we want to, but because it’s the only way to relieve pain and infection.

Because most of the problems hide below the gumline, anesthesia is necessary for a safe, thorough cleaning. No pet will sit still for scraping and polishing, and anesthesia lets us get under the gums to remove bacteria and tartar completely.

The Results

The results can be dramatic. Owners often tell us their pets have better breath, more energy, and even improved attitudes after a cleaning. In some cases, we’ve pulled dozens of diseased teeth, and within a week those pets are back to happily eating dry food.

If you’re noticing bad breath, tartar buildup, or gum redness, it’s a good idea to visit and look into scheduling a dental checkup. Even if it’s not urgent, addressing dental disease early prevents bigger problems later.

Curious about your pet’s dental health? Reach out to us at our vet clinic in Chattanooga and we can take a look.

• • •

Everyone of the questions asked on our Pet Resource Blog is answered by a veterinarian from our clinic.
You can watch a 3-part video series of Dr. John Lindsay speaking on this topic here.

With our good x-ray on the left here, we see good alveolar bone in and around the teeth. Uh, teeth are nice and clean. Um, no gaps in between the bone and the tooth itself.

This X-Ray shows a not-so great situation for this pet.

We can actually even see the tartar buildup, which is really thick on all of these teeth. The bone is pulling away from that tooth. We can see these gaps in between the roots of the tooth. So this animal, essentially, instead of having a hundred percent of the root holding the tooth in, he's got. Maybe 20% that's holding on.

Previous
Previous

Keep Your Pets Safe from Halloween Candy

Next
Next

Treating Seasonal Allergies for Pets